脳神経外科・脳卒中センター

脳神経外科の特色

  • ● 緊急性の高い脳神経外科疾患を、24時間体制で診察します。
  • ● 地域の患者さんが、可能な限りその地域で治療が完結できるよう、診療体制を整えています。
  • ● 薬物治療、直達手術、血管内治療、放射線治療等を適切に組み合わせ、患者さんにとって負担が少なく、最大の効果があげられるような治療を行います。
  • ● 診断、治療、リハビリテーションが適切なタイミングで、継ぎ目なく行われるような体制で診療にあたります。
  • ● 「日本脳神経外科学会専門医訓練認定施設」、「日本脳卒中学会認定研修教育病院」、「日本脳卒中学会一次脳卒中センターコア」の指定を受けています。
  • ● 大阪大学医学部脳神経外科と連携をとり診療にあたります。

神経症状

神経疾患は、さまざまな症状を示し、原因がわかりにくいこともあります。
次に示す症状が当てはまる場合、気軽にご相談ください。

 

  • 意識障害 : 脳卒中、頭蓋内圧亢進
  • 頭痛 : 突然か、慢性的か、危険な頭痛
  • めまい : ふらつき、回転性のめまい
  • 麻痺 : 顔面・上下肢の運動障害
  • 感覚障害 : しびれ、痛みなどの知覚異常、感覚がわかりにくい知覚低下
  • 言語障害 : 言葉が出ない、理解ができない
  • けいれん : 突然の意識障害、顔面・上下肢のけいれん、体が硬くなる、動作の停止

治療対象

 

疾患名 関連する疾患
脳血管障害(脳卒中) 出血性病変(クモ膜下出血・脳動静脈奇形・脳内出血)、未破裂脳動脈瘤、 虚血性病変(脳や頸部血管の狭窄性病変、脳梗塞など)
脳腫瘍 髄膜腫、神経症腫、下垂体腺腫、神経膠腫、転移性脳腫瘍など
機能性神経疾患 顔面痙攣、三叉神経痛、頭痛、てんかん、水頭症
頭部外傷 頭蓋内血腫、脳挫傷、陥没骨折、慢性硬膜下血腫

脳卒中相談窓口

脳卒中相談窓口

スタッフ紹介

kumagai

脳神経外科部長 熊谷 哲也(くまがい てつや)
資 格 日本専門医機構認定脳神経外科専門医・指導医
日本脳神経血管内治療学会専門医
日本脳卒中学会認定脳卒中専門医・指導医
日本脳卒中の外科学会技術認定医
医学博士
専門分野 脳神経外科全般
脳卒中の外科治療

matsui

脳神経外科科長 松井 雄一(まつい ゆういち)
資 格 医学博士
日本専門医機構認定脳神経外科専門医・指導医
日本脳神経血管内治療学会専門医
日本脳卒中学会認定脳卒中専門医

uno

 

宇野 貴宏(うの たかひろ)

主な疾患の治療内容

脳梗塞(主幹動脈閉塞による急性期脳梗塞)

閉塞血管を、カテーテルを用いた血管内治療で再開通させます。


治療前(血管造影画像)


治療後(血管造影画像)


頚動脈狭窄症

頚動脈ステント留置術

狭窄した血管を、カテーテルを用いた血管内治療で拡張させ、脳梗塞の予防を行います。


治療前(血管造影画像)


治療後(血管造影画像)


頚動脈内膜剥離術

狭窄した血管の内部のプラークを除去し、脳梗塞の予防を行います。


治療前(造影CT画像)


治療後(造影CT画像)


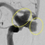
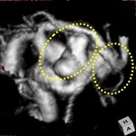
脳動脈瘤・くも膜下出血

くも膜下出血の原因となる脳動脈瘤の治療を、直達手術、血管内治療を用いて行います。


近年では、動脈瘤ができた部位の血管内に、
フローダイバーターとよばれる血流改変ステントを
留置して、動脈瘤の血栓化を促す治療も行います。
当院でも施行可能です。

フローダイバーター留置術(血管内治療)

治療前(血管造影画像) 治療後(血管造影画像)
複雑な形状の動脈瘤を認め、フローダイバーターを留置し、動脈瘤の消失を確認しています。

脳動脈瘤開頭クリッピング術(直達手術)


治療前(造影CT画像)

治療後(造影CT画像)

皮膚切開と開頭(CT画像)

脳動脈瘤コイル塞栓術(血管内治療)


治療前(血管造影画像)

治療後(血管造影画像

脳動静脈奇形

脳出血の原因となった血管奇形を、血管内治療で閉塞させ、直達手術で摘出します。

脳動静脈奇形塞栓術(血管内治療)


治療前(血管造影画像)
 

治療後(血管造影画像)
 

塞栓物質注入後
(血管造影画像)

脳動静脈奇形摘出術(直達手術)


摘出前

摘出後

脳腫瘍

髄膜腫への血流を、カテーテルを用いた血管内治療で減じ、直達手術で摘出します。

腫瘍血管塞栓術(血管内治療)


治療前(血管造影画像)

治療後(血管造影画像)

腫瘍摘出術(直達手術)


治療前(造影MRI)


治療後(造影MRI)

悪性脳腫瘍は摘出術を行い、放射線治療、薬物治療を追加してコントロールします。


治療前(造影MRI)

治療後(造影MRI)

脳神経外科 研究業績

≫ 脳神経外科研究業績はこちらをご参照ください。